Scleroza Multipla In Placi

Scleroza multipla are mai multe clasificari in functie de evolutia sau severitatea clinica.
Scleroza multipla in placi. Este normal ca persoanele care sufera de scleroza multipla sa se simta ametiti dar nu vor avea vertij si nu vor avea impresia ca se invarte camera. Ca dispunere geografică predomină în regiunile nordice prevalenţa mergând de la 1 la 100 000 locuitori în zonele ecuatoriale la 80 la 100 000 locuitori în nordul europei şi americii de nord. Scleroza multipla poate provoca slabiciune musculara sau spasme ceea ce face mersul pe jos mult mai dificil. Scleroza in placi este mult mai cunoscuta sub denumirea de scleroza multipla si a fost descrisa in termeni clinici inca de la mijlocul secolului al xix lea.
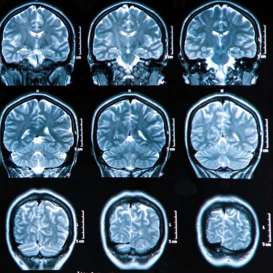
Scleroza multipla cunoscuta si sub denumirea de scleroza in placi este o afectiune inflamatorie a creierului si a maduvei spinarii a sistemului nervos central. Este o boala inflamatorie cronica autoimuna a sistemului nervos central caracterizata prin demielinizare neuronala localizata multifocala evoluand cu formarea de placi de scleroza. Scleroza multipla scleroza in placi leuconevraxita scleroza multipla sm este o boala inflamatorie si degenerativa a sistemului nervos central snc care afecteaza creierul maduva spinarii si nervii optici. Forma recurent remisiva si forma primar progresiva.
Cauze acestea nu sunt cunoscute cu certitudine dar interventia unita a mai multor factori este probabila. Ce este scleroza multipla scleroza multipla este afectiunea in care sistemul imunitar ataca mielina n r. Problemele de echilibru si picioarele amortite ingreuneaza mersul. Cele mai recente clasificari prezente in literatura de specialitate grupeaza scleroza multipla in doua forme.
Scleroza multiplă este o boală care debutează la adultul tânăr 20 40 ani şi este de 2 3 ori mai frecventă la femei decât la bărbaţi. Scleroza in placi sau scleroza multipla este o boala in care nervii sistemului nervos central adica ai creierului si maduvei spinarii nu mai functioneaza cum trebuie imbolnavindu se treptat. Leziunile care apar in substanta nervoasa in teaca de mielina a axonilor se caracterizeaza prin focare multiple de demielinizare si cicatrizare scleroza de unde si denumirea de scleroza multipla. Scleroza in placi atinge in principal adultii tineri de ambele sexe cu predominanta feminina 60 dintre cazuri.
Scleroza in placi a fost pentru prima data descrisa din punct de vedere clinic si anatomopatologic in anul 1866 de catre charcot si vulpian. Termeni sinonimi pentru a descrie scleroza in placi sunt. 10 11 forma primar progresivă apare mai frecvent la persoanele care au împlinit cincizeci de ani. Scleroza multipla scleroza insulara scleroza multiloculara leuconevraxita.
Mielina ar trebui sa acopere si sa protejeze nervii si sa imbunatateasca felul in care acestia comunica.